Notigape

Detectan más casos de Tuberculosis en Nuevo Laredo

Por: Staff NotiGape
20/03/2017 11:24
Detectan más casos de Tuberculosis en Nuevo Laredo

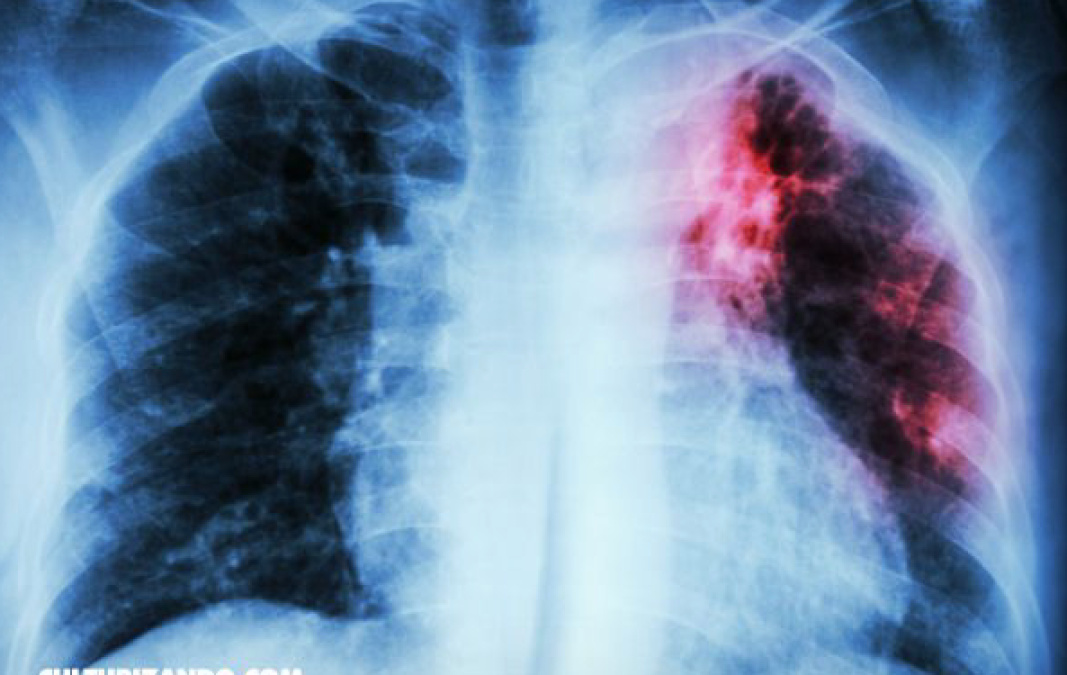
En lo que va del año, se han registrado un total de 48 casos nuevos de personas portadoras de Tuberculosis, de acuerdo con el departamento de Microbacteriosis de la Jurisdicción Sanitaria 5.

La información fue dada a conocer por el encargado del departamento, el doctor Oscar González Arrambide, quien indicó que en comparación con el año pasado, se atendían 234 casos, solo que alrededor de 160 pacientes terminaron su tratamiento.

De acuerdo con Gonzales Arrambide 17 casos pertenecen a la Secretaría de Salud, 20 a la unidad de Medicina Familiar (UMF) No. 78, son 8 de la UMF No. 76 del ISSSTE.

“Hemos tenido un poco de incremento, esto lo hemos visto reflejado por los migrantes que han regresado, nos han estado reportando pacientes que vienen con tratamiento, diagnosticados y aquí les damos seguimiento.” dijo.

Precisó que lo que hacen, son las cartas de recomendación a las instituciones de Salud en el Estado a donde van, y para ello, se les brinda su hoja responsiva, así como también un tratamiento por diez días, evitando que algunos migrantes en la ciudad, en lugar de regresar a su origen o cruzar a Estados Unidos nuevamente vuelva a contagiar a otras personas.

“En cuanto a menores de edad afectados por Tuberculosis oscilan entre los 15 y 19 años de edad, más un niño de 5 años que está a través del tratamiento binacional, las personas que tengan más de quince días con tos y flemas, deben realizarse el examen para descartar si es tuberculosis” indicó González Arrambide.